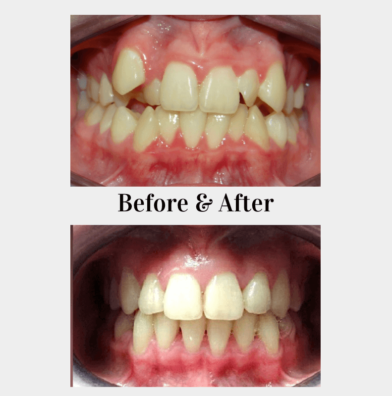
Before and After

Incredible results and inspiring journeys; see some of our patients' before and after photos next time you visit our practice.


gallery image gallery image gallery image gallery image gallery image gallery image gallery image gallery image gallery image
Back to Top